Welcome to Tooth Docs

Now providing quality and affordable dentistry
at three convenient locations.

Battle Ground

Camas

Salmon Creek

We Make Dentistry Simple

Dr. Erica Lenz and Dr. Brady Smith partnered up in 2017 at a franchised dental office in Camas, Washington. The practice grew quickly and was a great success. In 2021, while their Camas office continued to flourish, they created and opened Tooth Docs Battle Ground together. In 2022, our Camas office officially changed names to join our Tooth Docs family. Our third office is located in Salmon Creek and opened in February of 2024. Each office is operated separately, but they all share the same owners, same low prices, and same great dental care.

Insurance Providers


Kaiser PPO
MetLife
MODA DD OF OR
Molina (State)* on a limited basis
Principal
Premera
Regence
The Standard
United Concordia (tricare, active duty)
United Health Care (WA DUAL COMPLETE, PPO, HMO)

Aetna
Ameritas
BCBS
Cigna
Careington
Dentegra
Delta Dental (PPO And HMO)
Dentemax
EIP
GEHA
Guardian
Humana (PPO And HMO)

Services We Offer


Endodontics

Periodontics

Implants

Kids

Oral Cancer
Screening

General Dentistry

Clear Aligners

Oral Surgery

And More…

Follow Dr. Brady


Find more of Dr. Brady’s content on TikTok

Our Locations



Battle Ground

101 NW 12th Ave. Suite 130
Battle Ground, WA 98604

Hours
Monday–Friday
7:30am–7:30pm

Phone
(360) 667-5676

Email
frontdesk@toothdocs.net

 


Camas

2004 SE 192nd Ave Unit: #101
Vancouver, WA 98683

Hours
Monday–Thursday
6am–10pm

Phone
(360) 768-5609

Email
camas@toothdocs.net

 


Salmon Creek

14201 NE 20th Ave #A101
Vancouver, WA 98686

Hours
Tuesday–Thursday
7:30am–7:30pm

Phone
(360) 207-1999

Email
salmoncreek@toothdocs.net

 

Call now to schedule an appointment!

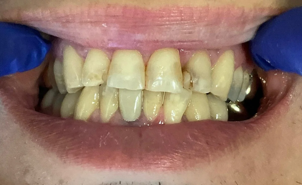
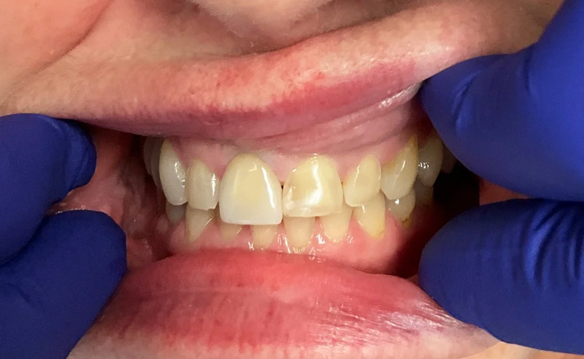
Before and After Tooth Docs